Cosmetic Dentistry

FAMILY DENTAL HEALTH, Dr. Ligaya Aquino-Paguyo Dental Office

Composite filling (tooth colored fillings)


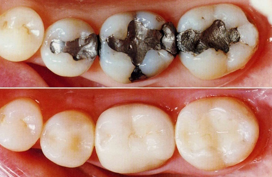
-The material is directly bonded using special bonding adhesive to strengthen the tooth. This is use for small to medium sized filling in posterior teeth but mostly for front teeth. Composite filling is done for chipped teeth, closing space between two teeth, broken or cracked tooth, decayed tooth, and worn teeth. It is easily apply, shape, and polish giving you a natural shape and function. For bigger cavities, amalgam or silver filling is still the ideal; but there’s more to choose from-inlay, onlay, and crown. This can be discussed with your dentist.

We check your gums, cheeks, lips, tongue, tissues, face, neck, and throat for signs of oral cancer; rechecking every time you have your recall.

Bonding-the anterior teeth are usually bonded to close spaces, change the shade lighter, and to repair the chipped or broken teeth. If the size is smaller like peg-shaped lateral, or you want to straighten crooked teeth, then bonding can enhance your smile. Another option could be laminate, veneers, or crowns. Your dentist will show you the benefits of each option.

Inlays/Onlays-hard and durable than bonding or tooth colored fillings. It could be made of gold, silver, and porcelain. If is fabricated in the dental laboratory. The procedure is more conservative than making a crown because less structure is removed.

Porcelain crowns (Caps)-This is indicated for poorly maintained, large fillings, or badly damaged teeth. Porcelain crowns can be a single tooth or fixed bridges. Caps enhance teeth color, shape, natural size, close gaps, and straighten teeth.

Porcelain Fixed Bridges-Missing teeth, especially on the front will give us a personal significant negative effect. The gaps if left unrepaired will cave in because of the bone loss. The neighboring teeth in the missing space will tilt also leading to a more serious consequence. Overall, if the gaps are just left alone particularly the front area of the mouth, it could add years to the appearance. Porcelain fixed bridges replace the natural teeth missing, thus helping out maintain the integrity of surrounding tissues.

Porcelain veneers, Porcelain Laminates, and Porcelain Lumineers-One of the popular procedures in Cosmetic Dentistry. Offers permanent whiter, highly resistant to stains, and perfectly aligned smile. It is a thin shell of porcelain (contact lens-thin) that fits over the front of the tooth and is bonded in place. It closes the gaps, masks dark stains, change the color, size,

Improve a gummy smile by making a short tooth looks longer, and straighten it giving you an instant orthodontics. If there is more structural damage on the teeth, porcelain crown is a very good alternative.

Procera Crowns-Procera crowns are the latest technology in making non-metal crowns. It is durable and can be a single crown or in bridges. It can also be used for restoring implant crowns whether single or connected.

Dentures can be a partial or completeIf you are missing one or more teeth, and you decided instead of a fixed bridge, you chose partial denture, then the missing tooth or teeth will be replaced by a pontic or artificial teeth set in a custom made acrylic or metal framework fitting your upper or lower jaw. If you lost all your teeth, the full denture will replace all the missing teeth by pontic all set up in acrylic.

Depending on the quality of the person’s upper and lower alveolar ridges, tissues, muscles, and some considerations we will discuss if you could qualify in the conventional prosthetic teeth or dentures. Our objective is to give you back your chewing thus getting proper nutrition, and of course to restore your natural beautiful smile. This involves several visits taking impressions, bite records, mount registration, selecting shape, contour, shade, and set-up for try-in. If everything is in conformity, you’re satisfied with the bite, shade, shape, set-up, contour, and appearance then the denture will be processed in the laboratory. We will adjust your new prosthetic teeth until you get used with it as long as you need.

If for some reasons, you’re upper and lower alveolar ridges are not considered to be ideal for the conventional upper and lower dentures, then we will discuss what other alternative options that is possible for you. You might consider implant as possible solution. Implants-replace a missing teeth. It is an artificial tooth support made of Titanium based cylinder that is placed within the jaw (upper or lower jaw). It would require 4-6 months of osteointegration or healing. Once it’s healed, a crown is made thus restoring the natural function and esthetics. Implants can support partial or full dentures. The dentist will evaluate your case if you are a candidate for implant.

Tooth whitening-Our teeth discolored as we get older. Discolorations can be due to the food we eat and drink, if you smoke, if your tooth had cracks taking up stains, and still others by certain antibiotic. You can whiten your teeth by using over-the-counter whitening systems, whitening dental toothpastes, and the safest of all-by professional dental professionals. The dentist can safely get your teeth their whitest. We will talk about which one is good for you regarding your teeth whitening. It could be an in-office or at-home but under the dentist instructions and supervision.

Make an Appointment

FAMILY DENTAL HEALTH, Dr. Ligaya Aquino-Paguyo Dental Office